Puede solicitar
su turno telefónicamente
en el nro:
+ 54 0351 4532896
Ingresar
Toggle navigation
Inicio
Institucional
Servicios
Capacitación
Contacto
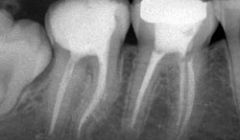
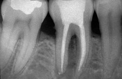
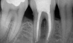
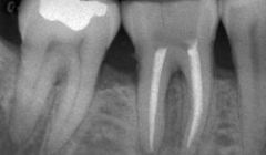
Fotos de:
Casos Atendidos en la Fundación
Volver a la galería